

If you’re wondering how to straighten crooked teeth in just 3 days, the only effective solution is dental veneers, a cosmetic dentistry procedure. While some may claim that composite bonding can fix crooked teeth, this is misleading. Crooked teeth typically cannot be corrected with bonding or composite fillings. Although minor alignment issues can be addressed with fillings or small adjustments, these are temporary solutions and not ideal for long-term results.
What Are Crooked Teeth?
Crooked teeth are those that are misaligned and cannot be corrected with traditional methods like braces, composite bonding, or simple fillings. In cases where braces are recommended, the patient generally should not have jaw alignment issues, significant bite problems, or overlapping teeth. Therefore, the term “crooked teeth” is used for cases that are beyond the scope of short-term or minor orthodontic treatments, typically requiring more than a year to resolve with braces.
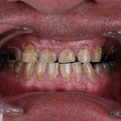
Below, you can view examples of crooked teeth before treatment.




For these cases, cosmetic dentistry treatments like zirconia or porcelain veneers are often the best solution. With this approach, patients can achieve a brand-new smile in as little as three days. Veneers made from materials like porcelain or zirconium are long-lasting, with proven durability for 15 to 30 years or more.
As digital dentistry continues to evolve, more patients and dentists are opting for quicker, more innovative solutions to treat crooked teeth. While some traditional dentists may still prefer slower orthodontic methods, countries like Turkey have embraced modern treatments with excellent results.
Reviews of patients who had their crooked teeth straightened
Why Choose Cosmetic Dentistry for Crooked Teeth?
Patients with crooked teeth often prefer cosmetic dentistry because it offers fast, reliable results. Traditional treatments like braces can take years, often lowering a patient’s motivation throughout the process. On the other hand, dental veneers provide a lifelong solution, typically completed in just two visits. Here are some reasons why people opt for cosmetic dentistry, especially zirconium veneers, for their crooked teeth:
- Quick Results: No waiting for months or years with uncertain outcomes.
- Cost-Effective: Avoid lengthy, expensive orthodontic treatments that may not provide the desired results.
- Age Considerations: Many believe braces are less effective as they age.
- Special Events: For upcoming important life events, like weddings, patients want a fast solution.
- Improved Social Confidence: Straight, even teeth improve both social and professional interactions.
- Permanent Alignment: Cosmetic veneers maintain teeth alignment even if wisdom teeth or other extractions are required later.
How Dentafly in Turkey Fixes Crooked Teeth in 3 Days?
At Dentafly, we specialize in fixing crooked teeth with cosmetic dental treatments, often completed in just 3 days. Here’s what to expect during the process:
- Consultation: Send an X-ray or dental photo to our dentists. Once confirmed that your teeth are suitable for smile design, you’ll begin your 3-day treatment plan.
- Day 1: Your teeth will be minimally shaved to prepare for the veneers.
- Day 2: Your custom veneers, produced in our lab, will be fitted on your teeth. If you and the dentist are satisfied, the veneers will be bonded to your teeth.
- Day 3: You’ll undergo final tests, such as eating and drinking, to ensure comfort and proper function.
If you experience any discomfort or have concerns, additional follow-up sessions can be arranged. Even after your treatment is complete, Dentafly offers post-treatment services, allowing for minor adjustments to ensure long-term satisfaction with your new smile.
